Co škodí? Přehřátý a poškozený teflon, a také svalovec stočený!

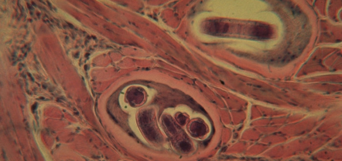
V nedostatečně propečeném mase mohou uvnitř přežít larvy svalovce
V nedostatečně propečeném mase mohou uvnitř přežít larvy svalovce

Červené maso můžeme, ale jen dvakrát týdně, biomaso je fajn, pokud farmář používal kvalitní krmivo, domácí uzené si rozmyslete. Může v něm bydlet svalovec stočený.

 

reklama

Poměrně nechutný kolotoč

Je to parazit, který se může vyskytovat v zapouzdřených larvách v masu. Pokud jej sníte, larvy se v tenkém střevu zavrtají do sliznice, projdou svým vývojem během 30 hodin, a potom už může ve střevní sliznici růst další generace. Ta se prostřednictvím lymfatického systému dostane do krevního oběhu a do svalových buněk, kde se zapouzdří. Jsou infekční asi pů roku, ale i několik let.

Cysty tohoto červa spolehlivě ničí teplota 100 stupňů Celsia, tedy vaření, pečení a dušení. Ovšem nakládání do láku a klasické uzení je pro svalovce prakticky neškodné; tímto způsobem zpracované maso může v sobě mít živé larvy ještě po týdnu, ve zmrazených masných výrobcích může žít i 2 týdny.

(Možná by vás zajímalo: 7 tipů, jak se dostat do formy)

Masivní infekce může být i smrtelná

Onemocnění se projeví únavou, horečkou, bolestmi v postižených svalech, vyrážkou a otoky dýchacích cest, a také bolestí nebo pálením očí. Větší postižení je důvodem hospitalizace.

Nemoc se zjistí odběrem krve (sérologickými testy) a základem léčby je podávání antiparazitik. Jako doplněk léčby se někdy doporučují probiotika a prebiotika.

(Čtěte také: Plísně jsou nebezpečné, ale mnoho cukru taky)

Prevence: vařit dusit, péci

Začne období domácích zabíjaček. Nejjistější ochranou před těmito parazity je pečlivá příprava pokrmů s dostatečným provařením a propečením masa. I grilování může být rizikové, protože maso bývá mnohdy navrchu téměř spálené, uvnitř téměř syrové. A i když to domácí uzené od strejdy z Moravy vypadá lákavě, rozmyslete si to. Totéž platí při konzumaci tatarského bifteku. Syrové maso, syrové vajíčko… Tuto lahůdku si dejte jen z prověřených zdrojů.

A co pánve? Kupte nerezovou!

Teflonová pánev je fajn, ale při přehřátí se z teflonu uvolňují škodliviny. A pokud už je povrch pánve poškrábaný, poškozený a teflonová vrstva má vady, pánev už nepoužívejte.

Keramická pánev je dobrým pomocníkem, ale vydrží poměrně krátce.

Litinová pánev má výhodu v tom, že dlouho drží teplo, a mnozí kuchaři-profesionálové na nádobí tohoto typu nedají dopustit.

Nerezová pánev je podle rad odborníků nejlepší. Má dno vytvořené z několika vrstev kvalitního materiálu, dobře funguje na všech zdrojích tepla, je hygienická a snadno se udržuje.

https://www.ctidoma.cz/clanek/zdravi-a-styl/co-skodi-prehraty-a-poskozeny-teflon-a-take-svalovec-stoceny-19695
reklama
#zdravá výživa #domácnost #výroba
reklama

To nejzajímavější do Vašeho e-mailu

Máte zajímavou informaci? Chcete spolupracovat?
Kontaktujte šéfredaktora Martina Chalupu: chalupa@ctidoma.cz

© Centa, a.s.
Jakékoli použití obsahu včetně převzetí, šíření či dalšího užití a zpřístupňování textových či obrazových materiálů bez písemného souhlasu společnosti Centa,a.s. je zakázáno. Čtenář svým přihlášením do jakékoli soutěže na našem webu dává souhlas s tím, že v případě, že se stane výhercem této soutěže, může být jeho jméno na webu publikováno. Centa, a.s. využívala licenci ČTK a využívá fotografie z Depositphotos.